Achieve Optimal Oral Health at Newtown's Trusted Dental Clinic
Newtown Dental, a name to reckon with, has always provided great treatment and services by those who are skillful and knowledgeable in the latest techniques. So, whether it is any dentist with free cap on the dental chair, each dentist gives proper focus to your own unique oral health needs while delivering customized treatments. Now you can enjoy a complete range of services in a cozy and friendly ambiance. With us, you receive the best!
What are the reasons anyone would travel from afar to experience such great service from the clinic?
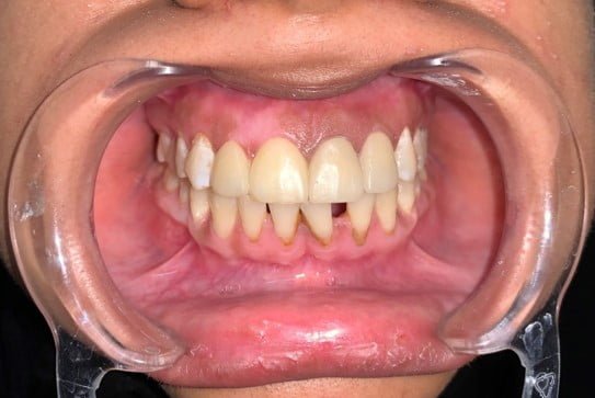
While narrowing down a dental clinic in Newtown, the most important thing many people focus on is the experience of the dentist. At Anuradha Bose Dental Clinic, our professionals possess over 20 years long experience in hands-on dentistry and devote themselves to offering services with smiles of satisfaction.
Beyond the affordable tooth care services, we have also offered to be cost-effective while sticking to the quality of products and services that, in any way, will affect oral health. Mommy-like mothers source for the best dentists in the best newtown dental clinic. They will always endeavor to bring you that perfect balance between quality and affordability.
The new pioneering digital X-ray technology clinic is spear-headed by experienced dentists in Newtown, Kolkata. This equipment is specialized in customized and comprehensive one-time reports within a day for a patient so that you can easily opt for the quick diagnosis and treatment of your dental issues. This makes us the most preferred option for such query care.
Your comfort is our number one priority. A warm and comfortable waiting area has been provided for our patients. The best dentists in Newtown examine and treat you, ensuring that your comfort and satisfaction are priorities during your visit.
Following any dental procedure, our thorough sterilization procedures make sure the cleaning of all instruments and dental equipment is complete before the use, significantly minimizing risk infection. The commitment with which we maintain impeccable health and hygiene standards goes further toward establishing us as the best dental clinic in Newtown.
Our clinic is equipped with the latest and finest technological advances in the field of dentistry, all designed to save time and discomfort for our patients while also being easy on their pockets. This commitment to advancement cements our place as the best option for dental care in Kolkata and beyond.










